|
|

![]() | ![]() | |
| A multi-bladed knife used in Mini-micrografting | | Cutting grafts "to size" in Mini-micrografting |
![]() | ![]() | |
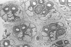
| Follicular Units seen under densitometry | | A histologic cross-section of FU's within the dermis |

![]() | ![]() | |
| A Norwood class 6 patient with position of new hairline marked just prior to surgery | Results after 2 sessions of Follicular Unit transplantation. Note the natural hair line. |